A PICTURE SAYS A THOUSAND WORDS

Our Work

From routine check-ups and cleanings to orthodontics, implants, and full smile makeovers,

Sky Dental Clinic offers complete dental care in one place.

Aligners, Whitening and Bonding

Before

After

SMILE MAKEOVER

Before

After

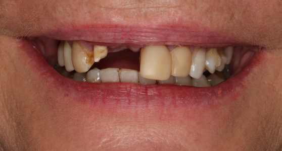
Full Mouth Rehabilitation

Before

After

Full Mouth Rehabilitation

Before

After

Full Mouth Rehabilitation

Before

After

Clear Aligners and veneers

Before

After

smile makeover

Before

After